
Электрокардиография (ЭКГ) и почему "ЭКГ не показало..."
ЭКГ один из самых простых и широко применяемых методов обследования пациентов. Выполняется за 3-5 минут, аппаратура широко доступна. Однако - что видно и что не видно на обычной ЭКГ (или как она называется ЭКГ покоя 12 отведений).

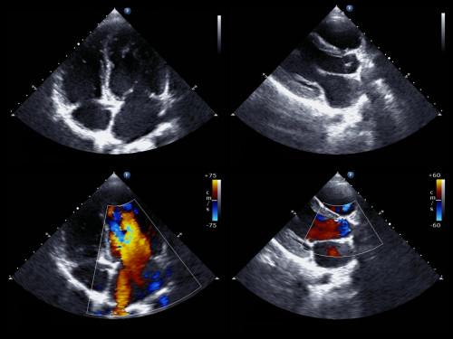
Эхокардиография (ЭхоКГ)
Ультразвуковое исследование сердца в режме он-лайн.
В наше время только ЭхоКГ может быть критерием патологии клапанов сердца. Любые разговоры о пороках (врожденных или приобретенных) без ЭхоКГ бессмысленны.
При ЭхоКГ видны последствия перенесенных/переносимых инфарктов - в виде нарушения соратимости стенок сердца и это может являться критерием.
Метод достаточно сильно зависим от квалификации оператора (врача ФД) и от качества аппаратуры.
К сожалению, до сих пор рутинно нет технической возможности записывать видео всего исследования, поэтому иногда приходится пересматривать ЭхоКГ повторно с консультантом.
Для более подробного изучения некоторых структур сердца ЭхоКГ может выполняться специальным датчиком из пищевода (ЧПЭхоКГ).

Мониторирование ЭКГ (холтер) и СМАД
Суточная или многосуточная запись ЭКГ (холтер) позволяет документировать такие нарушения ритма и проводимости, которые возникают относительно нечасто и не видны на ЭКГ покоя.
Следует учесть, что обнаружение чего-либо на холтере доказывает наличие этого феномена у пациента (сильная положительная предсказующая ценность), а отсутствие чего-либо не исключает наличия этого у пациента (слабая отрицательная предсказующая ценность), поэтому предложение "переделать холтер" после "плохого" в надежде на "хороший" - это полное отсутствие квалификации и понимания сути метода!
Если имеется "плохой" холтер - нужно разбираться с его причинами. А не пытаться переделывать второй, третий, десятый - в надежде увидеть, что все хорошо.
Холтеровский монитор это не нагрузочная проба. Во время его ношения следует выполнять привычный объем нагрузок, а не специальные.
В общем виде холтер не является средством диагностики ИБС, т.е. колебания конечной части (ST) на холтеровской записи не всегда означают ишемию миокарда. Тем не менее - это всегда повод дообследоваться.
Для диагностики редко возникающих изменений помимо холтера в наши дни имеются наружные регистраторы ЭКГ "по требованию" (для самосъемки) и многосуточные имплантируемые под кожу регистраторы ЭКГ.
СМАД - монитор АД - применяется для объективного контроля суточного АД (без влияния факта измерения человеком) и для расчета некоторых индексов, характеризующих саморегуляцию АД в организме. Поэтому 15 раз измерить самому себе АД в течение суток - не то же самое, что выполнить мониторирование прибором.

Нагрузочные пробы (ВЭМ, тредмил)
В случаях, когда есть подозрение на наличие ИБС - ишемической болезни сердца, а также профилактически для некоторых профессий (летчики, машинисты, военные...) выполняется нагрузочная проба. Это бегущая дорожка - тредмил или ВЭМ - велоэргометр. Принципиальной разницы между ними нет.
При этом результат исследования бывает: отрицательный (это хорошо, наличие ИБС не подтверждено), положительный (есть признаки ишемии миокарда при нагрузке, т.е. сердцу не хватает кислорода) - это значит нужно дообследоваться - делать коронарографию.
Также тест может быть сомнительным (тогда только врач-кардиолог решает как еще дообследовать пациента) или незавершенным. Незавершенный тест неинформативен, как если бы его не было вообще.
Если пациент принимает постоянно лекарства - чаще всего врач потребует отменить некоторые из них за 48 часов.
С учетом популяционного риска - мужчинам с 40-45 лет целесообразно проходить нагрузочный тест 1 раз в год до возраста примерно 75 лет.
Следует помнить, что чувствительность теста очевидно менее 100%, следовательно даже отрицательный тест не всегда доказывает отсутствие ИБС.

КОГДА и С ЧЕМ ИДТИ К КАРДИОЛОГУ
К кардиологу идти необходимо:
К кардиологу идти желательно:

Сердечно-сосудистые риски
В заголовке этой заметки приведена Фремингемская шкала сердечно-сосудистого риска. По ней можно кликнуть и рассмотреть покрупнее.
Найдите себя: возраст, пол, курение, холестерин...
А цифры означают вероятность в процентах серьезного сердечно-сосудистого события в течение года (инфаркт, инсульт, госпитализация по поводу сердечной болезни...).
Вообще все факторы сердечно-сосудистого риска делят на:
Важно знать, что модифицируемые риски реально можно снизить довольно простыми методами, да и при немодифицирумых можно улучшить прогноз, т.е. снизить вероятность сердечно-сосудистой катастрофы, увеличить выживаемость.
Об этом надо говорить с врачом.
Еще раз посмотрите на цвет своей клеточки в таблице...Не пора ли к кардиологу?